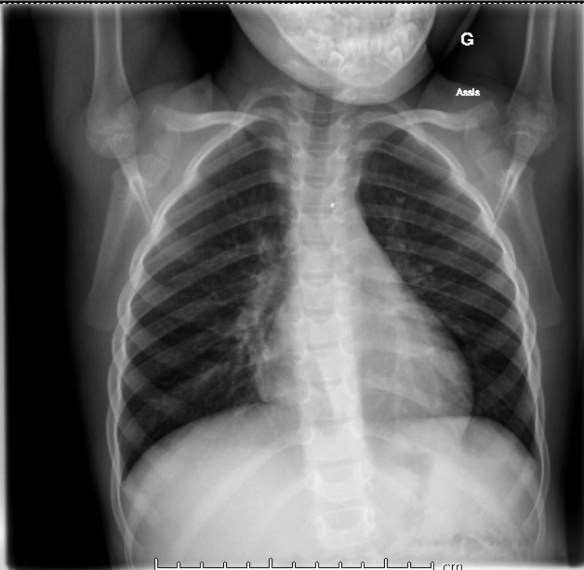
Parents : soyez vigilants dites à vos enfants que la bouche ce n’est pas un Instrument de musique sur lesquel on peut accrocher des grelots.
Enfants : écoutez vos parents; la bouche, c’est fait pour parler et pour la nourriture


Parents : soyez vigilants dites à vos enfants que la bouche ce n’est pas un Instrument de musique sur lesquel on peut accrocher des grelots.
Enfants : écoutez vos parents; la bouche, c’est fait pour parler et pour la nourriture

